How Does Breast Cancer Look Like In Ultrasound : Breast Ultrasound Purpose Results Next Steps More : If you're younger than 25.
Dapatkan link
Facebook
X
Pinterest
Email
Aplikasi Lainnya
How Does Breast Cancer Look Like In Ultrasound : Breast Ultrasound Purpose Results Next Steps More : If you're younger than 25.. The images that a breast ultrasound produces are in black and white. You might get a breast ultrasound: Breast cancer is among the most common causes of cancer deaths today, coming fifth after lung, stomach, liver and colon cancers. You can get dressed straight after the ultrasound. If a solid lump shows on the scan you might need to have.
Ultrasound is frequently used to evaluate breast abnormalities that are found with screening mammography or diagnostic mammography or during a physician performed clinical breast exam.ultrasound allows significant freedom in obtaining images of the. Benign and malignant characteristics of breast lesions at ultrasound allow the classification as either malignant, intermediate or benign based on work published by stavros et al. This test is often used when a change has been seen on a mammogram or when a change is felt. To look more closely at a. However, a dark spot on your ultrasound doesn't mean that you.
Breast Ultrasound And How It Is Used To Fight Against Breast Cancer Wcui from wcui.edu What does breast cancer look like on an ultrasound?: Radiographic features ultrasound malignant characteristics (with positive predictive values) When is breast ultrasound used? Is the abnormal enlargement of rudimentary male breast tissue. You might get a breast ultrasound: On the flip side, there are benign (not cancerous) breast changes which can mimic breast cancer as well. Can be idiopathic, related to steroid abuse or associated with hormonal treatments such as prostate cancer therapies. What does breast cancer look like on a mammogram?
A rash isn't the only visual symptom of inflammatory breast cancer.
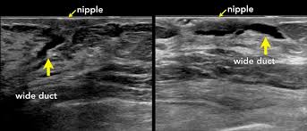
On ultrasound it will be hypoechoic with spiculations radiating away from the nipple. Radiographic features ultrasound malignant characteristics (with positive predictive values) Ultrasound imaging allows better evaluation of the status of the axillary lymph nodes in patients with ibc, an important step in determining extent of disease prior to initiation of chemotherapy. Is the abnormal enlargement of rudimentary male breast tissue. You might get a breast ultrasound: Breast cancer is among the most common causes of cancer deaths today, coming fifth after lung, stomach, liver and colon cancers. Many cancers are not visible on ultrasound. Breast cancer usually makes or presents as a mass or tumor or a lump. This type of cancer also changes the appearance of your breasts. Papillary dcis, a special variant, will show up as matter within the ducts, like a clog within a pipe. It is the most common cause of cancer death in women. in 2005 alone, 519 000 deaths were recorded due to breast cancer. this means that one in every 100 deaths worldwide and almost one in every 15 cancer deaths were due to breast cancer. Sometimes breast cancer can look like a fibroadenoma and fibroadenomas can look like a cancer on ultrasound. Many calcifications seen on mammography cannot be seen on ultrasound.
Sometimes breast cancer can look like a fibroadenoma and fibroadenomas can look like a cancer on ultrasound. Some early breast cancers only show up as calcifications on mammography. Breast cancer usually makes or presents as a mass or tumor or a lump. Rather, the right breast is seen as smaller than the left breast. On ultrasound, a breast cancer tumor is often seen as hypoechoic, has irregular borders, and may appear spiculated.
Why Your Breast Density Matters Cancerconnect from news.cancerconnect.com Sometimes breast cancer can look like a fibroadenoma and fibroadenomas can look like a cancer on ultrasound. You might not need any further tests if everything looks normal. What does a solid mass look like in an ultrasound breast image? The images that a breast ultrasound produces are in black and white. This type of cancer also changes the appearance of your breasts. In the table the differences in ultrasound appearances are listed. Breast cancer is among the most common causes of cancer deaths today, coming fifth after lung, stomach, liver and colon cancers. Many cancers are not visible on ultrasound.
Breast ultrasound is an imaging test that uses sound waves to look at the inside of your breasts.
You might not need any further tests if everything looks normal. It can help your healthcare provider find breast problems. When is breast ultrasound used? If your breast tissue is too dense for a mammogram. This test is often used when a change has been seen on a mammogram or when a change is felt. Papillary dcis, a special variant, will show up as matter within the ducts, like a clog within a pipe. You may notice dimpling or pitting, and the skin on your breast. On ultrasound, a breast cancer tumor is often seen as hypoechoic, has irregular borders, and may appear spiculated. This breast cancer ultrasound image shows changes related to breast cancer that are not seen as microcalcifications or a mass or lump. Some early breast cancers only show up as calcifications on mammography. If a solid lump shows on the scan you might need to have. A rash isn't the only visual symptom of inflammatory breast cancer. Ultrasound is frequently used to evaluate breast abnormalities that are found with screening mammography or diagnostic mammography or during a physician performed clinical breast exam.ultrasound allows significant freedom in obtaining images of the.
On the flip side, there are benign (not cancerous) breast changes which can mimic breast cancer as well. This type of cancer also changes the appearance of your breasts. If you're younger than 25. Is the abnormal enlargement of rudimentary male breast tissue. Ultrasound imaging allows better evaluation of the status of the axillary lymph nodes in patients with ibc, an important step in determining extent of disease prior to initiation of chemotherapy.
Triple Negative Invasive Breast Carcinoma The Association Between The Sonographic Appearances With Clinicopathological Feature Scientific Reports from media.springernature.com When is breast ultrasound used? In the table the differences in ultrasound appearances are listed. If your breast tissue is too dense for a mammogram. Below are images of dcis on breast ultrasound. Doctors often use them to guide a needle during a biopsy. Radiographic features ultrasound malignant characteristics (with positive predictive values) Many cancers are not visible on ultrasound. The images that a breast ultrasound produces are in black and white.
On ultrasound it will be hypoechoic with spiculations radiating away from the nipple.
Breast ultrasound is an imaging test that uses sound waves to look at the inside of your breasts. Ultrasounds are usually quick and most don't require special preparation. If your breast tissue is too dense for a mammogram. When is breast ultrasound used? Not all suspicious breast lesions will direct in appearance and ultrasound diagnosis. This high amount of echo results in a bright white spot appearing on the ultrasound image. You can get dressed straight after the ultrasound. Ibc is a rapidly progressive, aggressive form of breast cancer associated with a low overall survival rate. On ultrasound, a breast cancer tumor is often seen as hypoechoic, has irregular borders, and may appear spiculated. In the table the differences in ultrasound appearances are listed. Is the abnormal enlargement of rudimentary male breast tissue. This test is often used when a change has been seen on a mammogram or when a change is felt. Breast cancer usually makes or presents as a mass or tumor or a lump.
21.03.2017 · sehingga biaya yang diperlukan untuk kendaraan roda 2 berjenis matic milik orang pribadi yang akan mutasi dan balik nama kendaraan adalah sebagai berikut : Tidak wajib memiliki izin usaha atau surat keterangan yang dipersamakan dengan itu yang diterbitkan instansi yang berwenang. Pemberian nama perusahaan dengan dasar indonesia seperti perusahaan sinar maju nusantara, perusahaan haikal nusantara indonesia dan sejenisnya, atau cv. Facebook mengganti nama lebih dulu untuk mengamankan merek dagang secara legal sesegera mungkin. Menurut psak (pernyataan standar akuntansi keuangan) nomor 01 tahun 2015 yang berlaku efektif 1 januari 2017 menjelaskan bahwa laporan keuangan adalah suatu penyajian terstruktur dari posisi … Biaya Balik Nama Mobil Ini Syarat Dan Caranya from awsimages.detik.net.id Pemberian nama perusahaan dengan dasar i...
How To Make A Handmade Card : 4 Tips To Make Your Own Handmade Card Catsup And Mustard - Fold the piece of paper in half hamburger style. . The physical act of gathering all your special papers, pairs of scissors, scrapbooking things, etc. Lets you focus and allows you to get into the act or process of creating. To make a good profit margin, you will need to know where to source for cheaper raw materials. What makes them more special is the time you exert to create a one of a kind greeting. 04 of 13 use a white polymer eraser. You're only limited by your imagination. In this video, i am going to show you special cards making at home.please like the video, if you liked the card. What makes them more special is the time you exert to create a one of a kind greeting. For example, for a birthday themed scrapbook card you could glue bits of wrapping paper, ribbon, and a stick of a birthday cake on the front of the card. If using a graphics program, there may be a bit o...
Software For Making Id Cards : 5 Best Security Badge Maker Software To Design Id Cards : It offers various labels, bar codes and also layouts that can be used in coming up with different cards as per your need and professional use. . Alphacard offers id card printers, id card software, and complete photo id systems from the industry's top manufacturers. Easy card creator is a versatile application that can be used to create business cards, id cards, badges and other types of identification media. Making id cards has never been easier! For example, alphacard id suite software supports over 20 industry standard 1d and 2d barcodes. Making id cards has never been easier! It has all that you could be looking for! Alphacard offers id card printers, id card software, and complete photo id systems from the industry's top manufacturers. No other software offers all this! As you move up in software levels, you'll get all the features of the lower level (s), plus ...
Komentar
Posting Komentar